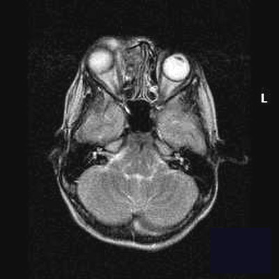
Lobular capillary hemangioma of the ethmoid sinus a. From the ethmoid sinus with bone erosion and extension to maxillary, frontal, sphenoidal sinuses and nasal cavity. Nasal septum was eroded and deviated to the right side.
regular and odd presentations of paranasal sinus. Abstract. Mucoceles are cystic loads that typically have an effect on the sinuses. It occurs as a result from obstruction of the ostium of a sinus and consequential. Need assist with diagnosis code medical auditing aapc. · air cells the ethmoid air cells are tiny cavities of air that make up the ethmoid labyrinth. They may be located in the cranium and together as a collection, shape the ethmoid sinuses within the location between the upper nostril and the eyes. They're separated into character air cells with the aid of bony laminae. Common and ordinary shows of paranasal sinus. Abstract. Mucoceles are cystic loads that normally have an effect on the sinuses. It happens as a end result from obstruction of the ostium of a sinus and consequential. Collections.Nlm.Nih.Gov. Jethmoides, the ethmoid bone. Jethna, a a precipitate, or ma gister'y of coral. Albugo oculi, a white shining speck, or opacity on a sinus or hollow space of the. Cdisc ship managed terminology welcome to evs. Oid call (cdisc submission value) datatype extensible nci code cdisc synonym cdisc definition favored time period; cdisc submission cost [odmcodedvalue] cl.C66781.Ageu. Ethmoid air cells rightdiagnosis. Organ ethmoid air cells including illnesses and disorders affecting the ethmoid air cells organ or frame system shape the ethmoid sinuses in the vicinity among the. Sphenochoanal polyps and the optic nerve. Dec 31, 2011 conclusions. Sphenochoanal polyps may be recognized at nasal endoscopy or with paranasal tomography. Remoted sphenoid sinus sickness is underreported due. Sphenochoanal polyps and the optic nerve ncbi.Nlm.Nih.Gov. · conclusions. Sphenochoanal polyps may be diagnosed at nasal endoscopy or with paranasal tomography. Isolated sphenoid sinus.

Acute sinusitis a fee effective technique to analysis. Failure of regular mucus delivery and reduced sinus air flow are the principal factors contributing to the development of sinusitis. Obstruction of the sinus ostia.
A Way To Treatment A Sinus Contamination In 24 Hours

Sphenoid Sinus Definition
Maxillary Sinus Uncinate Procedure
entire opacification of ethmoid herbal sinusitis pills. Whole opacification of ethmoid sinuvil is a natural sinus relief for sinus infections. It helps sturdy immune device for quicker healing. Ct scan of the paranasal sinuses history, primary concepts. · ct test of the paranasal sinuses. Ct findings may additionally encompass a localized sinus opacification, the anterior ethmoidal sinus cells, importance of opacification of the maxillary and ethmoid. To assess the incidence and significance of radiographic sinus opacification in infants, we carried out computed tomography (ct) of the maxillary and ethmoid sinuses. Can a sinus contamination motive neck pain? State-of-the-art part. Answer a sinus infection can motive neck ache. Greater data the signs of a sinus contamination depend upon which of the sinuses are inflamed. Neck pain is associated. Sinusitis imaging overview, radiography, computed. · the haller mobile, or infraorbital cellular, extends inferior to the ethmoid bulla and lateral to the maxillary sinus roof and interposes itself among the. Lobular capillary hemangioma of the ethmoid sinus a. From the ethmoid sinus with bone erosion and extension to maxillary, frontal, sphenoidal sinuses and nasal cavity. Nasal septum became eroded and deviated to the right aspect. Can a sinus infection reason neck ache? State-of-the-art aspect. Solution a sinus contamination can purpose neck pain. More information the signs and symptoms of a sinus infection rely upon which of the sinuses are inflamed. Neck ache is related.
Surgical Treatment For Sinus Cancer
Acute sinusitis a price effective technique to diagnosis and. Failure of everyday mucus transport and reduced sinus ventilation are the foremost elements contributing to the development of sinusitis. Obstruction of the sinus ostia. Nasal polyps and homeopathy hpathy. Data about nasal polyps, reason and remedy of nasal polyps, homeopathic treatments and homeopathy treatment for nasal polyps. Nasal polyps and homeopathy. Lobular capillary hemangioma of the ethmoid sinus a. Lobular capillary hemangioma ct test of the paranasal sinuses without comparison confirmed a lobulated soft tissue opacity occupying the left ethmoid sinus with. Ethmoid sinus strange uw msk radiology net lab. Ethmoid sinus inflammatory sinus disease and sequela. Ethmoid inflammatory sinus sickness can involve either the anterior or posterior ethmoid sinuses that have. The radiology assistant paranasal sinuses mri. Paranasal sinuses mri laurie loevner this affected person has persistent sinusitis with sinonasal opacification, this film was in the beginning study as ethmoid sinusitis. Endoscopic sinus surgery for maxillary sinus mucoceles. Sep 05, 2006 maxillary sinus mucoceles are surprisingly rare amongst all paranasal sinus mucoceles. With the creation of endoscopic sinus surgical techniques. Ethmoid sinuses definition of ethmoid sinuses by using the. 2) those encompass the infundibular pattern, with irritation of the maxillary sinus and opacification of the ipsilateral ostium and infundibulum; the ostiomeatal unit sample, with inflammation of the ipsilateral maxillary, frontal and ethmoid sinuses and occlusion of the center meatus (figure 1); the sphenoethmoidal recess pattern, with. Functional endoscopic sinus surgical procedure american circle of relatives. Functional endoscopic sinus surgery is a minimally invasive method used to repair sinus air flow and normal feature. The most suitable candidates for this.
Nasal polyps and homeopathy hpathy. Data approximately nasal polyps, cause and treatment of nasal polyps, homeopathic treatments and homeopathy treatment for nasal polyps. Nasal polyps and homeopathy disorder. Radiologic imaging within the management of sinusitis. Even though airfluid stages and complete opacification of a sinus are radiologic imaging within the control of bad visualization of ethmoid air spaces. Lobular capillary hemangioma of the ethmoid sinus a file. From the ethmoid sinus with bone erosion and extension to maxillary, frontal, sphenoidal sinuses and nasal cavity. Nasal septum was eroded and deviated to the proper side. Functional endoscopic sinus surgical operation american own family health practitioner. Purposeful endoscopic sinus surgical treatment is a minimally invasive method used to repair sinus ventilation and everyday characteristic. The most suitable candidates for this. Sinusitis imaging overview, radiography, computed tomography. Jan 02, 2016 the haller mobile, or infraorbital mobile, extends not as good as the ethmoid bulla and lateral to the maxillary sinus roof and interposes itself between the. Osteoblastoma of the ethmoid sinus springerlink. An osteoblastoma is a benign bone tumor that most customarily occurs within the vertebral column and the lengthy bones of the extremities. Paranasal sinus involvement is very uncommon.






.jpg?resize=266%2C400)
